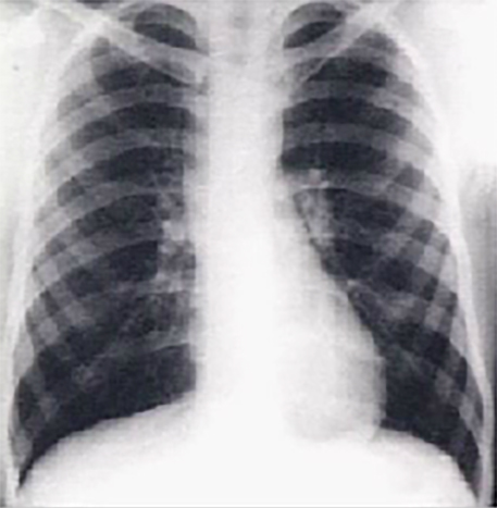
This PA chest X ray shows a dilated ascending aorta.
It demonstrated dilatation of the
ascending portion of the aorta, as evidenced by a prominent bulge in the right mediastinal shadow. Note that the heart size is normal, as reflected by a
cardiothoracic ratio less than fifty percent.