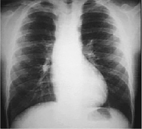
This chest X ray shows rib notching.
In this PA view, it is demonstrated by a
scalloped or notched appearance of the inferior rib margin, especially well seen in the posterior fourth to seventh ribs.
This is typically seen in patients with coarctation of the aorta, where collateral circulation in the intercostal arteries causes them to become large and tortuous and erode the adjacent rib margin.